Icon Resin Infiltration Australia
For proximal treatments the applicator must remain on the tooth during the application time of the HCl gel and the infiltrant in order to protect the adjacent tooth from contamination with both substances. It can be done sooner than other cosmetic options like veneers that you have to.

Teeth Whitening Icon Infiltration Therapy The Dental Studio Singapore
Caries infiltration with Icon fills the gap between prophylaxis and filling.

Icon resin infiltration australia. Removal of the out layer of enamel that is. Mon panier vide Aucun produit 000 Total. MacLean discusses Resin Infiltration a simple and painless option to manage incipient lesions recognized by the American Dental Associations new Evidence-based Clinical Practice Guidelines for Non-restorative Treatments for Carious Lesions.
Mild to moderate fluorosis can also be tre. Les prix sont HT Passer commande Mon panier. Resin Infiltration - A Minimally Invasive Treatment Option for Enamel Caries and Cosmetic Defects Dr.
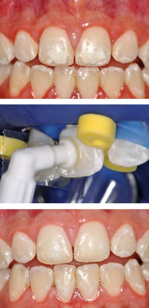
The Icon microinvasive caries infiltration can be used not only to mask cariogenic white spots on smooth surfaces. The entire process usually takes anywhere from 45 minutes to an hour. With Icon resin infiltration DMG America Engle-wood NJ USA its acid etchant15 hydrochloric acidremoves the surface layer of the decalcified area due to its penetration depth of 5837m.
Now theres a less-invasive solution to treat white spots in just one visit. Hydrochloric acid pyrogenic silicic acid surface-active substance Icon-dry. The procedure is typically done with the following steps.
Methacrylate-based resin matrix initiator. Icon proximal allows these lesions to be treated early and microinvasively before it is too late and the advancing caries makes an invasive intervention necessary. Icon Use Resin infiltration technique caries infiltrant Indication Proximal early caries lesion enamel lesion Component Icon-etch.
Icon can be used to effectively arrest the progress of caries that x-rays show have not advanced farther than the outer third of the dentine E1-D1. After 20 days the patient will be recalled and on the day of appointment initially a new preoperative photograph shall be taken then the fluorosed tooth will be isolated using rubber dam and the Resin infiltrant Icon DMG Hamburg Germany will be applied as per manufactures instructions similar to intervention Icon Infiltration. Yes during the infiltration step the proximal applicator serves as a reservoir for Icon-Infiltrant.
This opens up access to the body of the lesion which allows the resin. The participants were analysed-before intervention T 0 immediately after intervention T 1 3. The aim of this trial was to comparatively evaluate Icon resin infiltration and Clinpro XT varnish in restoring aesthetics of white spot lesions WSLs present post-orthodontic treatment.
ICON - Rsine dinfiltration. Produit ajout au panier avec succs. Two hundred forty WSLs were detected in 193 teeth of 12 patients.
If needed more material can be applied visual check. ICON Resin Infiltration in Poway Is a solution for problems like fluorosis yellow and white spots because The treatment is much less invasive and less expensive than the alternatives of fillings or veneers. Dental cleaning to remove any substance from the teeth.
Onset of caries before treatment. Icons revolutionary resin infiltration system has been proven for a range of indications including mild-to-moderate fluorosis and has been shown to effectively mask white spots on smooth surfaces. Micro-abrasion is a procedure also used to treat flurosiswhite spot lesions but ICON infiltration resin is less invasive and often can achieve a better result.
Le taux de russite de 80 90 est quivalent aux traitements de restauration. The aim of this trial was to comparatively evaluate Icon resin infiltration and Clinpro XT varnish in restoring aesthetics of white spot lesions WSLs present post-orthodontic treatment. Une sance dinfiltration Icon permettra la fois de traiter la formation des caries de blanchir vos dents et de prolonger lesprance de vie de vos dents.
This innovative method can therefore be used for esthetic treatments of front teeth where appearance plays an important role. Two hundred forty WSLs were detected in 193 teeth of 12 patients. In addition this treatment optically blends in the lesion with the healthy enamel.
The participants were analysedbefore intervention T0 immediately after intervention T1 3 months later T2 and 6 months later. ICON Resin Infiltration treatments are done in one dental visit and dont require shots numbing or drilling. Dans le cas de caries les rcents essais cliniques ont rvl que les caries traites avec Icon ne progressaient pas pendant au moins 5 ans.
Based on aforementioned attributes of the technique being less invasive for your natural teeth and not requiring anaesthetics patients benefit from paying less for dental expenses both in the immediate and long-term.

Management Of White Spot Lesions

Pdf Comparative Evaluation Of Icon Resin Infiltration And Clinpro Xt Varnish On Colour And Fluorescence Changes Of White Spot Lesions A Randomized Controlled Trial
![]()
Icon Resin Infiltration Broad Smiles Pediatric Dentistry

Icon To Remove White Spots And Caries Products Styleitaliano Org

Esthetic Management Of White Spot Lesions By Using Minimal Intervention Techniques Of Bleaching And Resin Infiltration A Clinical Report Journal Of Prosthetic Dentistry

Icon Resin Infiltration Icon Affiliated Children S Dental Specialists

Icon Resin Infiltration Icon Affiliated Children S Dental Specialists

Icon Treatment Of Post Orthodontic White Spot Lesions Oral Health Group
![]()
Icon Caries Infiltration Dmg High Quality Dental Materials For Dentists And Dental Technicians

Icon Resin Infiltration Icon Affiliated Children S Dental Specialists

Management Of Stained Fluorotic Teeth By Combined Minimal Invasive Esthetic Procedure Case Series Journal Of Dentistry Open Access Science Repository Open Access

Esthetic Management Of White Spot Lesions By Using Minimal Intervention Techniques Of Bleaching And Resin Infiltration A Clinical Report Journal Of Prosthetic Dentistry
![]()
Pdf Comparative Evaluation Of Icon Resin Infiltration And Clinpro Xt Varnish On Colour And Fluorescence Changes Of White Spot Lesions A Randomized Controlled Trial

Minimal Intervention Dentistry Part 6 Caries Inhibition By Resin Infiltration British Dental Journal

Structural Integrity Of Mih Affected Teeth After Treatment With Fluoride Varnish Or Resin Infiltration An 18 Month Randomized Clinical Trial Sciencedirect

Helping Dentists Succeed Icon Resin Infiltration For White Spot Removal Youtube

Dmg Icon Caries Infiltrant Smooth Surface Mini Kit Gunz Estore

Minimal Intervention Dentistry Part 6 Caries Inhibition By Resin Infiltration British Dental Journal
Post a Comment for "Icon Resin Infiltration Australia"